实验技术简介
病理切片作为一种实验技术已广泛应用于科研、教学、病理检验等工作中,有较高的使用价值。实验的整个流程大致分为以下几个步骤:组织固定、包埋、切片、脱水、透明、封片、染色。病理切片的质量对病理诊断有一定影响。HE染色(苏木素—伊红染色)的情况与制作切片的每一个过程都有着紧密的联系,包括时间的控制,切片的厚度等,每一个小环节都会严重影响病灶的呈现。
操作流程
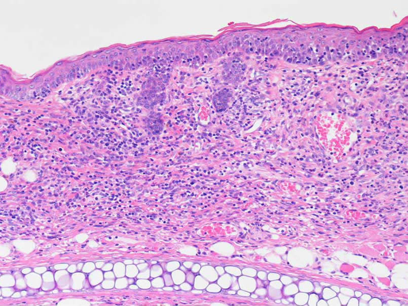
案例展示
石蜡切片机
客户提供
1、病理组织切片或组织,注意组织标本保存于固定液中,固定液选用10%福尔马林或4%多聚甲醛,组织块大小宜2cm*1.5cm*0.3cm
2、不同组织分开不同容器盛放
3、完整的送检单
结果交付
1、完整的试验流程,操作步骤
2、样本为病理切片,提供染色完成的切片及详细的解读报告
3、样本为组织,提供石蜡块、病理染色切片以及详细的解读报告
我们的优势
技术优良的实验团队
成熟的操作技术
一站式综合服务
咨询与订购
感谢您选择我们的服务,如果您有任何问题,请联系我们,我们将竭诚为您解答和服务。
客服电话:18612708765
网站:http://www.mogenetics.com
邮箱:market@mogenetics.com
QQ:3007604573